What’s NXT: Att arbeta i osäkra tider – missa inte gorillan
”Ser du gorillan?” Frågan ställs efter att deltagare i studier har fått titta på en video där de ska räkna antalet passningar mellan ett antal basketspelare. Under tiden spelarna passar bollen till varandra går en person i gorilladräkt in i mitten av bilden, slår sig själv på bröstet, och går ut igen. För den som ser videon första gången kommer frågan ofta som en överraskning – ”vilken gorilla?”. Exemplet visar effekten av det som kallas ”inattentional blindness”, vår förmåga att missa oväntade saker som dyker upp rakt framför våra ögon för att vi helt enkelt riktar vår uppmärksamhet mot något helt annat.
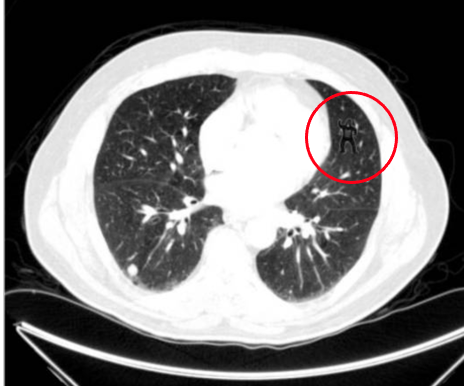
Detta har inte bara visats i hypotetiska scenarier med basketspelare, utan även experter påverkas av inattentional blindness. I en studie visades radiologer, experter i att titta på och utvärdera röntgenplåtar, bilder på lungor och gavs uppgiften att hitta och markera indikatorer på lungcancer. Vad de inte visste var att på vissa av bilderna hade en gorilla lagts in, tydligt synlig för den som visste att den var där. Frågan var om experterna när de granskade bilderna skulle upptäcka gorillan?

Bild från studien med gorillan markerad i övre högra hörnet. Från: Drew T et al. The Invisible Gorilla Strikes Again: Sustained Inattentional Blindness in Expert Observers
Svaret är kanske inte så överraskande, 20 av 24 radiologer såg inte gorillan förrän det blev tillfrågade om de inte såg något ovanligt på bilden. Detta trots att eye-tracking visade att många tittade rakt på gorillan, som var placerad vid indikatorer som deltagarna markerade. Bland icke-experter var resultatet ännu sämre, ingen(!) upptäckte gorillan på någon av bilderna.
Det är inte bara rent visuellt som vi kan råka ut för inattentional blindness, gorillor kan även visa sig på mer abstrakta sätt som förändringar i omvärlden, skiften och trender som vi missar för att vi är djupt fokuserade på det vi har precis framför oss i stunden. Detta är ett mönster vi har sett speciellt under Corona-pandemin när många företag har fokuserat på att ta sig igenom krisen, fokusera på det kortsiktiga och lämna det långsiktiga tänkandet tills något nytt normalläge har gjort intåg.
Trots tider av stor osäkerhet är det viktigt att hålla utkik efter gorillor som vandrar in i vår omvärld eller bransch för att snabbare kunna agera på de förändringar som de representerar. Väntar vi med att agera riskerar vi att missa nya möjligheter eller att agera för sent på hot, istället för att se osäkra tider som en chans att lyfta blicken och skapa fördelar gentemot konkurrenter redan innan stormen har lagt sig.
På Kairos Future står vi redo att hjälpa er med detta. Vi erbjuder fram till sommaren ett återstartspaket inom strategi och innovation. Våra framtidsstrateger har samlat de viktigaste omvärldsförändringarna som kan komma att påverka er bransch, som presenteras i en föreläsning följt av en workshop där vi tittar på konsekvenser och nya möjligheter för er organisation.
Ta chansen att bli den som kan upptäcka gorillan i tid och inte vara den som i efterhand måste fråga ”vilken gorilla?”.
Ladda ner vårt produktblad här, och kontakta oss för att få veta mer om hur vi kan hjälpa er.
Källor:
Simons DJ, Chabris CF. Gorillas in our midst: sustained inattentional blindness for dynamic events. Perception. 1999;28(9):1059-74. doi: 10.1068/p281059. PMID: 10694957.
Drew T, Võ ML-H, Wolfe JM. The Invisible Gorilla Strikes Again: Sustained Inattentional Blindness in Expert Observers. Psychological Science. 2013;24(9):1848-1853. doi:10.1177/0956797613479386
https://www.ncbi.nlm.nih.gov/pmc/articles/PMC3964612/
